
Fix Your Tooth Fast | Ventura’s Leading Same-Day Crown Service
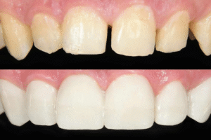
Is a cracked or damaged tooth making you hesitant to smile or nervous every time you eat? At Beach Cities Dental Group, they understand how
Home » Blog

Is a cracked or damaged tooth making you hesitant to smile or nervous every time you eat? At Beach Cities Dental Group, they understand how

The oral surgeon has a latent fear of children and hence, may appear frightening even during a routine check. All the parents would wish that

Living with broken sleep, loud snoring, or mornings that start with exhaustion can still drain your energy and peace of mind. Then in Westlake Village,

Maintaining good oral health starts with choosing the right dental team that truly cares about your comfort and confidence. If you’re searching online for a

How can something so simple transfigure your smile? That’s the glamour of contemporary orthodontic invention. This slice-edge method uses a series of transparent, custom-made aligners

Have you ever wished that your smile were somewhat different, brighter, straighter, or smoother when you reflected in the mirror? It’s not just you. Although
(805) 278-8887
1801 Solar Dr. Suite 290
Oxnard, CA 93030
Monday 8AM–5PM
Tuesday 8AM–5PM
Wednesday 8AM–5PM
Thursday 8AM–5PM
Friday 8AM–12:30PM
Saturday-Sunday Closed